
近日,杨某、张某表兄弟俩饮用了几两朋友自制的杨桃泡白酒后,次日就出现恶心、呕吐、腹痛、腰痛症状被送进了医院,肌酐数值飙升至正常的十倍,原来已是高草酸尿症引致急性肾衰竭,两人双双住院治疗。
医生认为,杨桃有肾毒性,肾功能不好者不宜多吃,杨桃泡酒更是导致草酸盐大量析出融入酒中,通过酒精进入人体血液,导致了兄弟俩出事。
酒席上分享自制杨桃酒放倒三人
杨某、张某表兄弟二人同为31岁,来自广东普宁。2019年11月29日夜间,他们和朋友聚餐饮酒。杨先生说,席间大家聊得正开心,做东的朋友突然拿出一瓶杨桃泡的白酒,说是已经泡了两三年,刚开的,很好喝,好东西要拿出来分享一下。于是大家就开始喝这个甜甜的杨桃酒。
“刚开始觉得挺好的”,于是大家越喝越开心,每个人都差不多喝了六七八两。张先生也说,自己是第一次喝这种自制的果酒,尝起来甜甜的没什么不妥,很好入口,所以大家都喝了不少。
不过到了第二天,就开始不舒服了。四个人中有三个都不舒服,吐了。一开始还以为就是酒后劲太厉害。谁知道两三天症状都没有缓解,肚子胀胀的。后来兄弟俩就到当地医院就诊,就发现肌酐异常飙升,同时被收治入院。
12月3日,在当地医院复查的结果提示,两人肾衰病情进一步加重,兄弟俩连夜转至南方医科大学中西医结合医院就医。
血肌酐异常飙升十倍住院近半月
南方医科大学中西医结合医院肾病科主任聂晓莉介绍说,这两位患者入院时候到检查指标,血肌酐一个飙升到932umol/L,一个是1011 umol/L。正常健康人的这个指标应该在44~133之间,他们的数值已经超标十倍以上。两个人都有少尿、下肢水肿、肾脏肿大的症状。胸部CT提示张某病情更为严重,双肺渗出严重、且出现血氧下降提示呼吸功能障碍。
“我们追问两位患者之前的喝酒情况,得知共同饮酒的四人中,另一名酒友也出现了肾衰竭。患者发病前有明确饮用杨桃浸泡白酒的情况,综合考虑为吃入大量杨桃导致的高草酸血症,从而导致急性肾衰竭。鉴于患者病情较重,医院对他们进行了一系列紧急治疗。
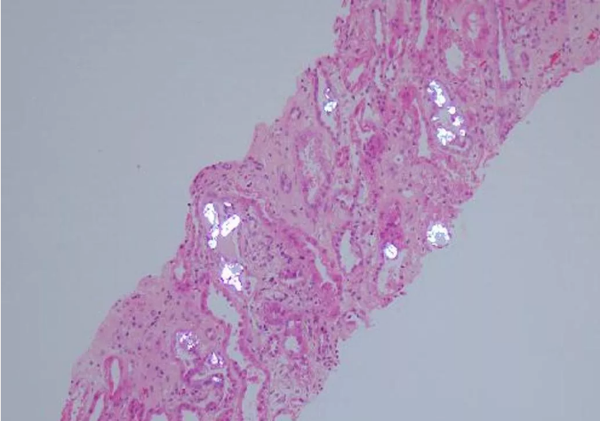
12月9日,两位患者的肾穿刺病理活检结果都提示——符合急性肾小管损伤。两人的病理肾活检光镜能都能看到,部分肾小管内草酸盐结晶沉积,考虑为高草酸尿症引起的急性肾小管损伤。医生继续对他们进行治疗,直到肾功能明显好转。在住院将近半个月后,兄弟俩才总算陆续出院。“没想到喝了这个杨桃酒后果这么严重,以前都不知道杨桃有肾毒性啊。以后再也不敢喝了。”出院前,张先生对媒体记者说。

▲肾小管造影显示存在大量结晶沉淀物。(银白色部分)
为什么喝几两杨桃酒会导致肾衰竭?
为什么喝几两杨桃酒会导致肾衰竭?聂晓莉分析说,杨桃富含有害物质草酸,大量摄入杨桃后容易导致高草酸血症,过多的草酸容易在肾小管内沉积,从而导致急性肾小管损害出现急性肾功能衰竭。
“这兄弟俩喝的杨桃酒泡了两三年,草酸盐更容易析出,溶解在酒中,喝下去后进入血液沉积在肾脏,形成结晶,阻塞了肾小管,使肾脏细胞发生炎症反应。”聂晓莉说。
哪些人不宜吃杨桃?
医生提醒,很多人喜欢吃杨桃,自己泡杨桃酒的也不少。
对于有慢性肾病、存在肾功能不全、肾功能衰竭的人群,有过血液透析史的病人以及腹膜透析的患者,建议不要食用杨桃或者杨桃汁、杨桃罐头、杨桃酒等加工副产品。婴幼儿、对杨桃过敏者、高血压和糖尿病患者同样不宜食用。
一般情况下,正常人(健康)食用杨桃一般很少发生中毒情况,不会出现不良反应,但是也要避免大量进食和空腹食用杨桃,建议每次最多吃一个(100克)左右。
作者:周洁莹 朱钦文
编辑:顾军
责任编辑:许琦敏
来源:广州日报、新华社
声明:转载此文是出于传递更多信息之目的。若有来源标注错误或侵犯了您的合法权益,请作者持权属证明与本网联系,我们将及时更正、删除,谢谢。