看到小蒲的第一份心电图报告
连医生都不敢相信
心电图提示胸前导联ST段抬高
这是典型的心肌梗死症状
可是,眼前这位小伙子才21岁啊
21岁小伙突发心肌梗死
12月13日,成都中医药大学附属医院急诊科接诊了年轻的小蒲。当时,他感觉心口闷。
根据症状,接诊医生怀疑心梗的可能,立即启动胸痛中心预案流程,将小蒲送到急诊抢救室,检查结果不容乐观,心电图提示胸前导联T波高耸(心肌梗死超急性期改变)。这意味着,小蒲极可能是冠心病中最危急的心肌梗死,也是心内科最危急、最要命的疾病之一。
“我当时正在查房,接到急诊科电话赶忙来会诊。”成都中医药大学附属医院心血管一科主治医师李燕伟随即赶到急诊科,看到小蒲的第一份心电图,李燕伟医生也迟疑了一会。“毕竟年轻啊,才21岁。”
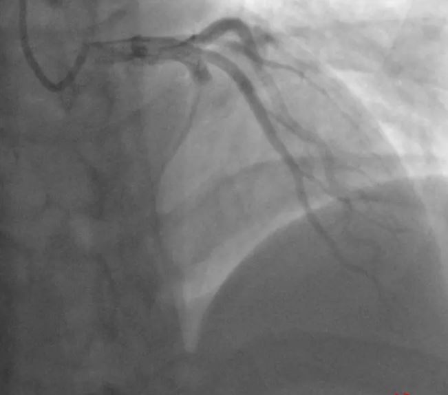
▲小蒲术前的冠脉造影显示,前降支血管严重堵塞
李燕伟询问病史,小蒲说只是感觉胸闷,没有明显的疼痛感。看着病床上身高175厘米、体重达到100公斤的患者,李燕伟决定给小蒲做第二次心电图,距第一次做心电图仅过了10分钟,心电图胸前导联ST段抬高明显,心肌损伤标志物也开始升高。
基本能判断,小蒲确实是罹患心肌梗死,急需开通冠脉、恢复血流。“在跟家属交代病情的时候,家属也不相信,这么年轻,怎么可能就心梗了?”李燕伟说。
1小时手术“掏出”10块血栓
确定小蒲心肌梗死后,心血管一科副主任殷拥军的介入团队随即做好了准备,小蒲被紧急推入了介入导管室。
进行紧急冠脉造影,造影结果显示,原本应该粗大明显的冠脉血管前降支的显影只剩下1厘米左右,“前降支被堵死了!”李燕伟告诉记者,前降支又被叫做生命支,承担着左心室的供血功能,这根血管被堵,意味着生命线被堵。
“马上我们就下导管、导丝、球囊扩张。”李燕伟说,按理球囊过去了,血流就应该恢复,但造影显示血流恢复并不通畅,原来大量的血栓造成堵塞,介入医生用导管反复抽吸血栓,“大大小小一共10块,最大的一块把导管都堵了,我们只能把导管全部退出来,重新再进一次,反复抽吸。”
同时,医生还使用抗凝药物进行溶栓,尽量将残存在血管壁上的血栓解决干净。但另一个难题也摆在医生们面前,要不要在狭窄部位放支架?
李燕伟说,就在血流恢复、介入医生们准备结束手术时,造影却显示前降支血流速度又慢了下来,殷拥军当机立断,必须上支架!术后,小蒲的冠脉血流恢复情况良好。
经常熬夜打游戏又不爱运动这些习惯害了他
通常情况下,心肌梗死多发于老年人,虽然近年来,四五十岁的中年人的发病人数也有所上升,但年仅21岁的小蒲为什么也会心肌梗死?
李燕伟解释说,老年人多发心肌梗死,一般是有高血压、糖尿病等风险因素。近年来,社会环境压力增大、工作压力增大,年轻人熬夜多,抽烟喝酒等不良习惯,饮食生活不规律,所以心梗发病也呈年轻化趋势。
问诊中,李燕伟了解到,小蒲虽然没有高血压、糖尿病、心梗家族病史,但偶尔会抽烟,身高175厘米、体重100公斤的小蒲常常熬夜打游戏,却不爱运动,同时,小蒲血脂指标超高,但此前一直都不知道。
实际上许多心梗的症状并不明显,
并且极容易被忽视,
但日常生活中的有些“微”信号,
其实是可以看出端倪。
01【一过性疼痛】-24小时发病信号
一过性疼痛是指在无任何明显局部组织损伤的环境下由伤害性感觉器激活所引起的疼痛。
心脏病突发的先兆往往轻微,易被忽略或遗漏,应当提高识别警惕性!其实很多地方的疼痛或者异常表现都可能提示着我们有冠心病。最常见的就是胸前区和心前区。
此外还有胃部的疼痛,运动诱发的疼痛,下颌、左肩和后背疼,甚至左大腿疼。这些疼痛往往是疼一下,休息一下又不疼了,特别容易被忽略。
注意:一旦出现上述症状,很可能在24小时内会突发心梗,这些症状,只要第一次发生就易发生心梗,应当警惕,及时去医院查治,以防意外发生。

02【半夜上不来气】-12小时发病信号
当你半夜突然胸闷,喘不上来气,这可能就是心梗发出的危险信号。心梗发生前,心肌供血严重不足,这时候心肌也就没有力量向身体供血,这样就影响了氧气的运送,夜间本身又是低供血时间,所以导致身体严重缺氧,甚至可能危害生命!
注意:出现上述症状,很可能在12小时内会突发心梗。
03【忽然一身汗】-正在发病信号
可能只是坐在椅子上,就开始汗流浃背,而且这种出汗不是局部性的,是全身。全身突然开始猛烈出汗是一种常见的心梗症状,在血管堵的一刹那一身大汗,人一下子就会倒下去。
注意:遇到这种情况,表明患者心梗即将,或者已经发作,应当及时拨打急救电话,争取黄金救治时间。
专家强调,心梗急救牢记两个120!
编辑:储舒婷
责任编辑:顾军
来源:杭州日报、央视新闻、成都商报、红星视频、生命时报